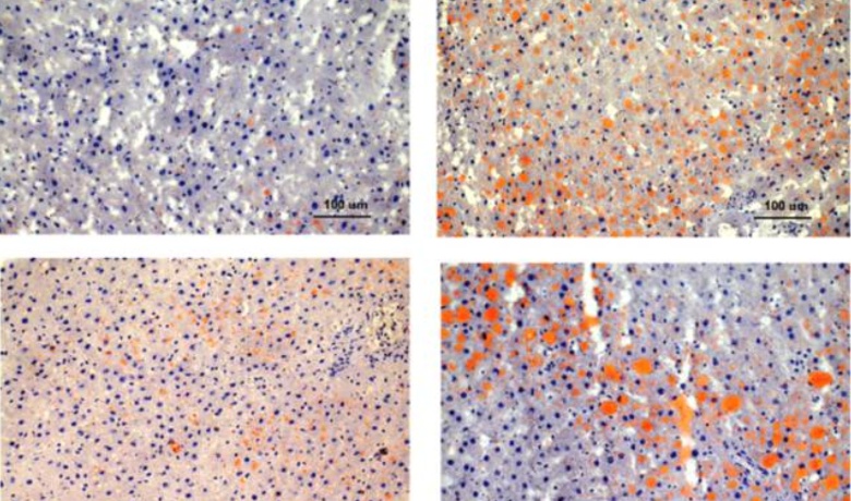
non-alcoholic fatty liver model
With the change of people's lifestyle and diet structure, non-alcoholic fatty liver is becoming more and more common, and it has become one of the most common liver diseases in my country. It is also closely related to obesity, insulin resistance, diabetes, and hyperlipidemia. In order to study its pathogenesis, it is very important to establish an animal model of nonalcoholic fatty liver disease.
Technical principle
NAFLD is the most common liver disease in China, which is closely related to obesity, insulin resistance, diabetes and hyperlipidemia. In recent years, due to the change of people's lifestyle and the westernization of diet structure, the incidence of non-alcoholic fatty liver disease is increasing, so it is necessary to study the animal model of non-alcoholic fatty liver disease. To simulate non-alcoholic fatty liver disease, the model can be made by feeding the experimental animals a high-fat diet.
Real Experimental Research Hundreds of Detection Experiments 6 Experimental Platforms









