Masson staining
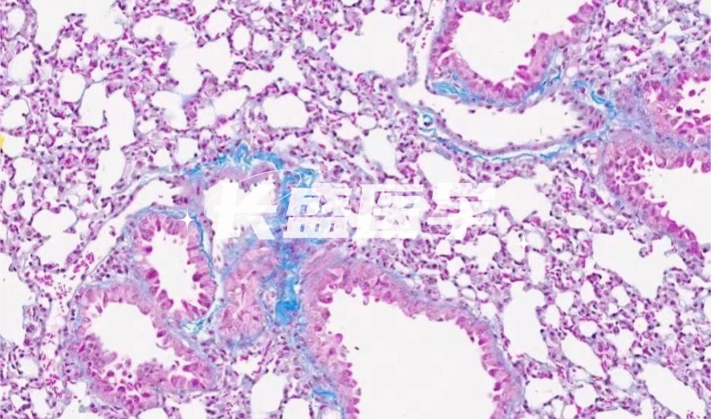
When Masson is dyed, the collagen fibers appear blue or green as they are stained with the dye aniline blue or brilliant green. Conversely, muscle fibers appear red because they are colored by acid fuchsin and rosin dyes. This difference is closely related to the molecular size of the anionic dye and the permeability of the tissue to the dye.
Technical principle
Masson staining is a common histological staining method that stains collagen fibers, muscle fibers, and red blood cells by using anionic dyes of different sizes to address differences in tissue permeability and chemical composition. In this method, collagen fibers are colored blue or green with a larger molecule of anionic dye; muscle fibers are colored red with a medium-sized anionic dye; and red blood cells are colored with the smallest molecule of anionic dye. This staining method has a high clinical application value, because it can quickly and accurately show different tissue components, so as to help medical professionals to diagnose and treat different diseases.
Real Experimental Research Hundreds of Detection Experiments 6 Experimental Platforms









