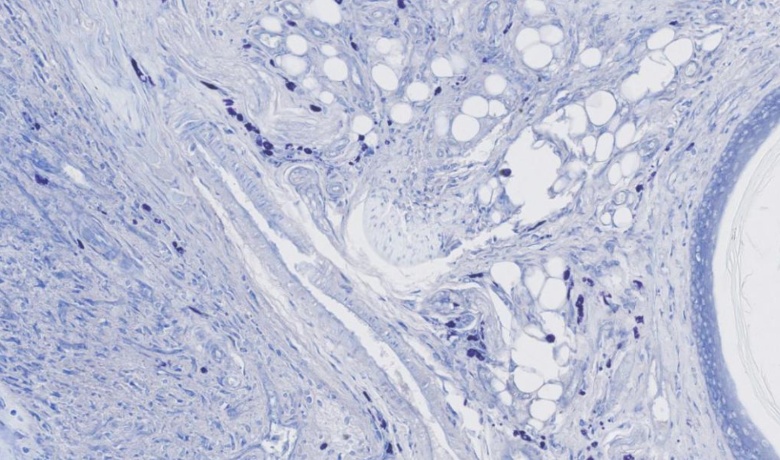
toluidine blue staining
Toluidine blue is a common synthetic dye, belonging to quinone imine dyes. Such dyes have two chromophores, an amine group and a quinoid benzene ring, and are therefore capable of exhibiting a unique color. The cation in toluidine blue plays a staining role and combines with the acidic substances in the tissue cells to achieve the staining effect. Toluidine blue contains not only two chromophores, but also two chromophores, which help the dye to ionize, form salts, and enhance the chromophore's ability to stain tissues. This dye can effectively stain the cell nuclei on the sections, making them appear blue in color.
Technical principle
The toluidine blue staining experiment is a commonly used biological experiment. Its purpose is to stain biological samples with toluidine blue dye, so that specific structures or components in cells or tissues can be visualized. This experimental method has a wide range of applications in biological research and clinical diagnosis. In the toluidine blue staining experiment, the sample to be stained first needs to be fixed and fixed on a glass slide. Subsequently, the specimen is pre-treated into a state suitable for staining through a series of processing steps such as dehydration, washing, and degreasing. Next, a toluidine blue dye solution is added to the sample, allowing the dye to chemically react with specific components in the sample to form a dyed substance. The final result of the toluidine blue staining experiment is to observe the stained sample through the microscope and use appropriate filters and lenses to enhance the visualization. In this way, we can clearly observe the specific structures of cells or tissues, such as the nucleus, cytoplasm and cell membrane, and analyze their morphology and composition. The visualization of toluidine blue staining experiments is a key part of the experimental protocol because they provide qualitative and quantitative information about specific structures or components in the sample. In addition, due to the affinity of toluidine blue dye to various biological samples, this experimental method is applicable to various biological research fields, such as cell biology, histology and pathology. To sum up, toluidine blue staining is an excellent biological experimental method, which provides valuable information about cell and tissue structure by staining samples. It provides a powerful tool for biological research and clinical diagnosis, and promotes our in-depth understanding of life activities.
Real Experimental Research Hundreds of Detection Experiments 6 Experimental Platforms









